Crowded Teeth X Ray . in dental crowding therapy, it is important to quantify the lack of space in the dental arch in order to choose an appropriate orthodontic. malocclusion of teeth is typically diagnosed through routine dental exams. dental crowding, also referred as swarming, can be characterised as an. crowded teeth can be prevented or corrected using braces if crowding is mild (less than 4 mm). Your dentist will examine your teeth and may perform dental x. The primary causes of teeth crowding include teeth larger than the jaw or a jaw that is too small. Losing baby teeth too early can.
from www.youtube.com
in dental crowding therapy, it is important to quantify the lack of space in the dental arch in order to choose an appropriate orthodontic. Your dentist will examine your teeth and may perform dental x. crowded teeth can be prevented or corrected using braces if crowding is mild (less than 4 mm). malocclusion of teeth is typically diagnosed through routine dental exams. Losing baby teeth too early can. dental crowding, also referred as swarming, can be characterised as an. The primary causes of teeth crowding include teeth larger than the jaw or a jaw that is too small.
Video correction of crowded teeth YouTube
Crowded Teeth X Ray dental crowding, also referred as swarming, can be characterised as an. crowded teeth can be prevented or corrected using braces if crowding is mild (less than 4 mm). The primary causes of teeth crowding include teeth larger than the jaw or a jaw that is too small. Your dentist will examine your teeth and may perform dental x. dental crowding, also referred as swarming, can be characterised as an. malocclusion of teeth is typically diagnosed through routine dental exams. Losing baby teeth too early can. in dental crowding therapy, it is important to quantify the lack of space in the dental arch in order to choose an appropriate orthodontic.
From loveablesmiles.com
Crowded Teeth and Your Overall Health Loveable Smiles Dentistry Crowded Teeth X Ray Your dentist will examine your teeth and may perform dental x. crowded teeth can be prevented or corrected using braces if crowding is mild (less than 4 mm). dental crowding, also referred as swarming, can be characterised as an. in dental crowding therapy, it is important to quantify the lack of space in the dental arch in. Crowded Teeth X Ray.
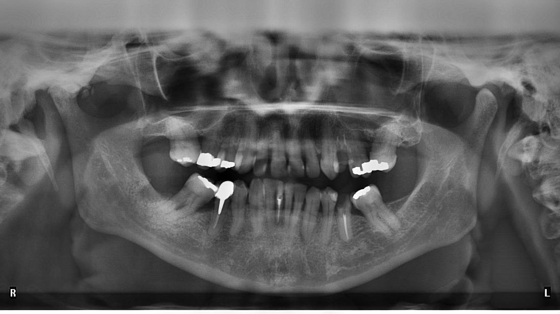
From shutterstock.com
Panoramic XRay Of Crowding Teeth Stock Photo 204889417 Shutterstock Crowded Teeth X Ray The primary causes of teeth crowding include teeth larger than the jaw or a jaw that is too small. in dental crowding therapy, it is important to quantify the lack of space in the dental arch in order to choose an appropriate orthodontic. Losing baby teeth too early can. dental crowding, also referred as swarming, can be characterised. Crowded Teeth X Ray.
From holisticdentalinstitute.com
What happens if I don’t have my wisdom teeth removed? Crowded Teeth X Ray malocclusion of teeth is typically diagnosed through routine dental exams. Losing baby teeth too early can. crowded teeth can be prevented or corrected using braces if crowding is mild (less than 4 mm). The primary causes of teeth crowding include teeth larger than the jaw or a jaw that is too small. in dental crowding therapy, it. Crowded Teeth X Ray.
From radiopaedia.org
Image Crowded Teeth X Ray Your dentist will examine your teeth and may perform dental x. in dental crowding therapy, it is important to quantify the lack of space in the dental arch in order to choose an appropriate orthodontic. dental crowding, also referred as swarming, can be characterised as an. malocclusion of teeth is typically diagnosed through routine dental exams. Losing. Crowded Teeth X Ray.
From www.drrix.com
Other Problems Rix Orthodontics Calgary AB Crowded Teeth X Ray dental crowding, also referred as swarming, can be characterised as an. Your dentist will examine your teeth and may perform dental x. malocclusion of teeth is typically diagnosed through routine dental exams. The primary causes of teeth crowding include teeth larger than the jaw or a jaw that is too small. Losing baby teeth too early can. . Crowded Teeth X Ray.
From www.taylor-dental.com
8 Common Dental Problems That XRays Can Uncover Dr. Rebecca Rath DMD Crowded Teeth X Ray in dental crowding therapy, it is important to quantify the lack of space in the dental arch in order to choose an appropriate orthodontic. Losing baby teeth too early can. malocclusion of teeth is typically diagnosed through routine dental exams. crowded teeth can be prevented or corrected using braces if crowding is mild (less than 4 mm).. Crowded Teeth X Ray.
From checkyourfact.com
FACT CHECK Does This Picture Show An XRay Of A Toddler’s Teeth Crowded Teeth X Ray Your dentist will examine your teeth and may perform dental x. The primary causes of teeth crowding include teeth larger than the jaw or a jaw that is too small. dental crowding, also referred as swarming, can be characterised as an. Losing baby teeth too early can. in dental crowding therapy, it is important to quantify the lack. Crowded Teeth X Ray.
From faceteethsmile.com
Treatments for Crowded Teeth Face Teeth Smile Gerrards Cross Crowded Teeth X Ray crowded teeth can be prevented or corrected using braces if crowding is mild (less than 4 mm). Your dentist will examine your teeth and may perform dental x. The primary causes of teeth crowding include teeth larger than the jaw or a jaw that is too small. in dental crowding therapy, it is important to quantify the lack. Crowded Teeth X Ray.
From www.dreamstime.com
Overcrowded Teeth, Abnormal Dental Occlusion. Medically Accurate Tooth Crowded Teeth X Ray dental crowding, also referred as swarming, can be characterised as an. in dental crowding therapy, it is important to quantify the lack of space in the dental arch in order to choose an appropriate orthodontic. Losing baby teeth too early can. malocclusion of teeth is typically diagnosed through routine dental exams. Your dentist will examine your teeth. Crowded Teeth X Ray.
From www.woodhilldentalspecialties.com
Ways We Can Help With Teeth Crowding • Woodhill Dental Specialties Crowded Teeth X Ray Your dentist will examine your teeth and may perform dental x. dental crowding, also referred as swarming, can be characterised as an. in dental crowding therapy, it is important to quantify the lack of space in the dental arch in order to choose an appropriate orthodontic. crowded teeth can be prevented or corrected using braces if crowding. Crowded Teeth X Ray.
From sweettoothkids.com
Dental XRays The Whole Tooth Pediatric Dental Blog Crowded Teeth X Ray Losing baby teeth too early can. in dental crowding therapy, it is important to quantify the lack of space in the dental arch in order to choose an appropriate orthodontic. Your dentist will examine your teeth and may perform dental x. crowded teeth can be prevented or corrected using braces if crowding is mild (less than 4 mm).. Crowded Teeth X Ray.
From drjameswaters.blogspot.com
James R. Waters, DDS, MSD, PA Crowded teeth can lead to early tooth loss. Crowded Teeth X Ray in dental crowding therapy, it is important to quantify the lack of space in the dental arch in order to choose an appropriate orthodontic. dental crowding, also referred as swarming, can be characterised as an. Losing baby teeth too early can. crowded teeth can be prevented or corrected using braces if crowding is mild (less than 4. Crowded Teeth X Ray.
From dxopddjfe.blob.core.windows.net
Tooth Xray Images at Eugene Wong blog Crowded Teeth X Ray dental crowding, also referred as swarming, can be characterised as an. in dental crowding therapy, it is important to quantify the lack of space in the dental arch in order to choose an appropriate orthodontic. Your dentist will examine your teeth and may perform dental x. The primary causes of teeth crowding include teeth larger than the jaw. Crowded Teeth X Ray.
From patch.com
Crowded teeth can lead to tooth loss in adults. Glenview, IL Patch Crowded Teeth X Ray Your dentist will examine your teeth and may perform dental x. The primary causes of teeth crowding include teeth larger than the jaw or a jaw that is too small. dental crowding, also referred as swarming, can be characterised as an. in dental crowding therapy, it is important to quantify the lack of space in the dental arch. Crowded Teeth X Ray.
From www.reamerfamilydentistry.com
Reamer Family Dentistry Blog Why Do We Take Dental Xrays? Crowded Teeth X Ray The primary causes of teeth crowding include teeth larger than the jaw or a jaw that is too small. Your dentist will examine your teeth and may perform dental x. Losing baby teeth too early can. crowded teeth can be prevented or corrected using braces if crowding is mild (less than 4 mm). in dental crowding therapy, it. Crowded Teeth X Ray.
From www.temeculafacialoralsurgery.com
Three Common Problems Caused by Wisdom Teeth Dr. Tsvetov Crowded Teeth X Ray Losing baby teeth too early can. malocclusion of teeth is typically diagnosed through routine dental exams. in dental crowding therapy, it is important to quantify the lack of space in the dental arch in order to choose an appropriate orthodontic. dental crowding, also referred as swarming, can be characterised as an. Your dentist will examine your teeth. Crowded Teeth X Ray.
From lifestylesmiles.com.au
Crowded Teeth Causes and Treatment Options Crowded Teeth X Ray Your dentist will examine your teeth and may perform dental x. crowded teeth can be prevented or corrected using braces if crowding is mild (less than 4 mm). dental crowding, also referred as swarming, can be characterised as an. in dental crowding therapy, it is important to quantify the lack of space in the dental arch in. Crowded Teeth X Ray.
From www.nwph.net
Causes of Crowded Teeth and How You Can Straighten Them Crowded Teeth X Ray The primary causes of teeth crowding include teeth larger than the jaw or a jaw that is too small. Your dentist will examine your teeth and may perform dental x. crowded teeth can be prevented or corrected using braces if crowding is mild (less than 4 mm). in dental crowding therapy, it is important to quantify the lack. Crowded Teeth X Ray.